Month: February 2025

मुख्यमंत्री धामी से चीफ ऑफ डिफेंस स्टाफ (CDS) जनरल अनिल चौहान ने शिष्टाचार भेंट की…

देहरादून: मुख्यमंत्री पुष्कर सिंह धामी से बुधवार को विधानसभा देहरादून में चीफ ऑफ डिफेंस स्टाफ (CDS) जनरल अनिल चौहान ने…

बजट सत्र के बीच हुई कैबिनेट बैठक, ऐतिहासिक कदम…सख्त भू-कानून पर लगी मुहर

मुख्यमंत्री पुष्कर सिंह धामी ने कहा कि प्रदेश की जनता की लंबे समय से उठ रही मांग और उनकी भावनाओं…

बजुर्ग फरियादियों को गंतव्य स्थल तक पंहुचा रहा है जिला प्रशासन का ‘सारथी’

देहरादून: जिलाधिकारी सविन बसंल ने अपनी शिकायतों केे निस्तारण हेतु जिला कार्यालय में आने वाले आगन्तुकों के परिवहन के लिए…

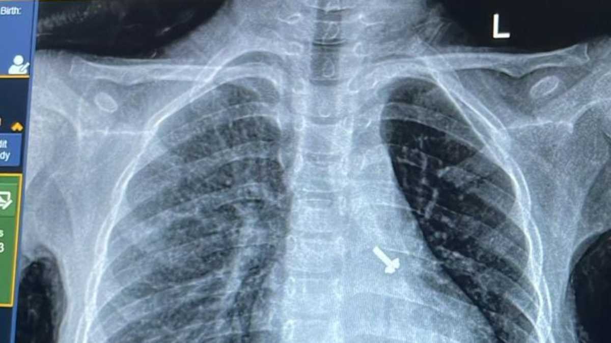
07 वर्ष के बच्चे के फेफड़े में फंसे पेंच को निकालकर एम्स के चिकित्सकों ने दिया जीवनदान

ऋषिकेश: अखिल भारतीय आयुर्विज्ञान संस्थान, ऋषिकेश के पल्मोनरी मेडिसिन विभाग की ओर से संचालित ब्रोंकोस्कोपी प्रयोगशाला में एक 07 वर्ष…

मुख्य सचिव की अध्यक्षता में स्टेट काॅओपरेटिव डेवलपमेंट कमेटी की बैठक…

देहरादून: सीएस श्रीमती राधा रतूड़ी ने राज्य के स्थानीय अनाज मंडुआ की भांति झंगौरा के लिए भी एमएसपी (न्यूनतम समर्थन…

पीएनबी ने इंडो तिब्बत बॉर्डर पुलिस के साथ एमओयू पर किए हस्ताक्षर…

देहरादून: देश के अग्रणी सार्वजनिक क्षेत्र के बैंक, पंजाब नैशनल बैंक (पीएनबी) ने आईटीबीपी के साथ एक समझौता ज्ञापन (एमओयू)…

मुख्यमंत्री धामी ने विधानसभा अध्यक्ष की उपस्थिति में ई-विधान एप्लीकेशन का लोकापर्ण किया…

देहरादून: मुख्यमंत्री पुष्कर सिंह धामी ने विधानसभा अध्यक्ष श्रीमती ऋतु खण्डूडी भूषण की उपस्थिति में मंगलवार को ई-विधान एप्लीकेशन (NeVA)…

दून एयरपोर्ट बड़े एयरपोर्ट में शामिल, यात्रियों की क्षमता 40 लाख प्रतिवर्ष होने पर किया गया घोषित

देहरादून एयरपोर्ट पर यात्रियों की क्षमता 40 लाख प्रतिवर्ष होने पर भारतीय विमानपत्तन आर्थिक विनियामक प्राधिकरण (ऐरा) ने देहरादून एयरपोर्ट…

उत्तरकाशी में भारत-चीन सीमा पर खुलेंगे दो नए ट्रैकिंग रूट, पीएम मोदी करेंगे शिलान्यास, पर्यटन को लगेंगे पंख

उत्तरकाशी (उत्तराखंड): देशभर में ट्रैकिंग के शौकीनों के लिए अच्छी खबर है। प्रधानमंत्री नरेंद्र मोदी की शीतकालीन यात्रा के दौरान…

उत्तराखंड मौसम: इस दिन से फिर होगी बारिश और बर्फ़बारी, प्रदेश में बढ़ेगी ठंड…

उत्तराखंड मौसम 17 फरवरी 2025: मौसम विज्ञान केंद्र ने मंगलवार से उत्तराखंड के पर्वतीय क्षेत्रों में हल्की बारिश होने की…